Las consecuencias, buenas y malas, tras correr todos los días durante 3 años y 21 días
Javier Mota completó una racha de carreras diarias de más de 3 años
A pesar de ser un gran hábito, hay que seguir la opinión de los expertos al correr
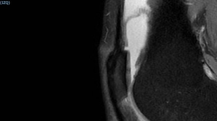
El diagnóstico del Dr. Luis Valenzuela de la Clínica Meds en Santiago de Chile que detuvo mis 3 años y 21 días corriendo todos los días, fue contundente: “Tienes evidentemente una artrosis femorotibial interna, con rotura degenerativa de menisco interno. También lesiones condrales en la rótula. Hay edema óseo del cóndilo femoral interno y de platillo tibial interno por el desgaste articular y la sobrecarga”.
En palabras simples, los resultados de la prueba de resonancia magnética (MRI por sus siglas en inglés), mostraron cuán gravemente arruiné mi rodilla izquierda, principalmente por un grave caso de terquedad, ubicado muy cerca de la línea de la estupidez.
En retrospectiva, debería haber dejado de correr cuando el dolor y malestar comenzaron el 15 de marzo de 2023, pero por terquedad, más que determinación o disciplina, corrí durante 5 meses con dolor, tratando de alcanzar primero la marca de los 1000 días y luego los 3 años. Los 21 días adicionales, solo confirmaron mi falta de sensatez y probablemente agravaron las cosas.
“El dolor no es normal”, me dijo una vez otro médico especializado en ortopedia, durante una conversación casual en un bar de St. George, Utah, cuando ya llevaba un par de meses insistiendo en correr a pesar de las molestias.
Mucho antes de eso, cuando cumplí 2 años corriendo todos los días en agosto de 2022, el Dr. Scott Lang, Profesor de Medicina Familiar de la Universidad Central de la Florida, me advirtió: «Nunca corras con dolor. Si tienes dolor muscular o articular cuando corres, ponte hielo y descansa. Si el dolor persiste por más de una semana, ve a ver a tu médico».
Obviamente, no hice caso hasta que el pasado 21 de agosto de 2023, al finalizar mi viaje anual de esquí a Chile, por fin decidí hacerme revisar la rodilla izquierda por el Dr. Valenzuela, quien tras un rápido examen visual y de tacto, determinó de inmediato que era necesaria una resonancia magnética.
Por supuesto, entre el tiempo que pasó desde el final del MRI y la hora en que recibí el diagnóstico, salí a correr por última vez (2.75 millas en 30 minutos y 36 segundos) porque intuía el final de la racha, bajo prescripción médica.

Lo cierto es que la molestia nunca llegó al grado de paralizarme, aunque entre el 15 de marzo y el 21 de agosto, 2023, reduje la distancia y la velocidad de cada carrera, pensando en que se reduciría el dolor. Eso no sucedió, pero tampoco empeoró.
El Dr. Valenzuela atribuyó esto a que gracias al ejercicio constante durante 1,115 días, logré desarrollar suficiente masa muscular que absorbió la mayoría del impacto en la rodilla.
Ahora, el siguiente reto es dedicarme con la misma intensidad a un programa de rehabilitación e incorporar otras actividades atléticas, sin impacto a las rodillas para mantener la condición física y el peso (165 libras).
Esos fueron sin duda los mayores beneficios de la racha de carreras, que comenzó el 1 de agosto de 2020 durante la pandemia de Covid, gracias a un grupo privado en Facebook, para salir del encierro.
En total, recorrí 3,257.3, un promedio de casi 90 millas al mes, lo que equivale a conducir directamente de Miami a Seattle durante 48 horas.

Todo esto, a pesar de que nunca me he sentido un “verdadero corredor”.
Si lo fuera, habría tomado en cuenta los consejos de los expertos de descansar, recuperarse y no convertirme en “esclavo de la racha”, como me dijo el Coach Adolfo Salgueiro, pero eso fue exactamente lo que hice.
Nunca calenté antes de una carrera, ni me estiré al final. Nunca me sometí a un programa serio de entrenamiento para alcanzar una meta específica.
Tampoco hice mucho caso a los consejos para usar zapatillas viejas y desgastadas o para comprar unas especialmente amoldadas a mi pie. Como consecuencia, nunca mejoré mis tiempos o distancia en estos 3 años y 21 días.

Incluso, como lo dije antes y lo repito ahora, no me gusta correr. Creo que es aburrido, tanto que durante los últimos meses de la racha traté de entretenerme recogiendo basura en la ruta, a veces a un sorprendente ritmo de más de 10 piezas por milla.
Gracias a eso y de forma nada científica, comprobé también que la Modelo Especial efectivamente se ha convertido en la cerveza más popular en Estados Unidos, dada la cantidad de latas vacías que encontré en los últimos meses durante mis carreras.
También empecé a detenerme a saludar a todos los perros que veía en el camino, quizá para justificar mi ritmo más lento y darle descanso a la rodilla, hasta que uno de ellos me mordió en el muslo izquierdo, algo que no tuvo relación con la lesión que eventualmente terminó la racha.
Ahora los beneficios
Siempre aprecié lo que sucede cuando corres todos los días. Te sientes mejor física y mentalmente, duermes y trabajas mejor y puedes comer y beber más. Y siempre te sientes bien después de cada carrera, a menos que te muerda un perro.
Además, fue alentador recibir el aliento de otros corredores y no corredores e incluso de empresas como New Balance y Apple, que me enviaron productos como incentivo para mantener viva la racha y de las marcas de autos que celebraron algunos de los puntos de la racha cuando coincidió con algunos de sus programas.
Ahora los beneficios
Siempre aprecié lo que sucede cuando corres todos los días. Te sientes mejor física y mentalmente, duermes y trabajas mejor y puedes comer y beber más. Y siempre te sientes bien después de cada carrera, a menos que te muerda un perro.
Además, fue alentador recibir el aliento de otros corredores y no corredores e incluso de empresas como New Balance y Apple, que me enviaron productos como incentivo para mantener viva la racha y de las marcas de autos que celebraron algunos de los puntos de la racha cuando coincidió con algunos de sus programas.

También fue un placer correr en 16 países y más de 100 ciudades.
Pero lo que más disfruté fue el reto diario de encontrar el tiempo y lugar para correr todos los días, a pesar de las complicaciones de los constantes viajes como parte de mi trabajo como periodista de la industria automotriz.
También fue un placer correr en 16 países y más de 100 ciudades.
Pero lo que más disfruté fue el reto diario de encontrar el tiempo y lugar para correr todos los días, a pesar de las complicaciones de los constantes viajes como parte de mi trabajo como periodista de la industria automotriz.
La carrera más larga (casi 9 millas) fue en Munich, Alemania, en septiembre de 2021, no porque quisiera correr esa distancia, sino porque simplemente me perdí. La carrera más rápida fue un 10K a un ritmo de 7:58 minutos por milla en casa.
El 31 de diciembre de 2022 salí a las 11:30 p.m. para completar los 5k diarios y luego hice otro comenzando justo a medianoche y terminando el 1 de enero. 2023 para comenzar el Año Nuevo.
Varias veces, aterricé en un aeropuerto y me bajé del auto camino al hotel para poder correr antes de que terminara el día. También corrí dentro de varios aeropuertos, antes y después de algún vuelo.
Así que al final, fue una buena racha mientras duró, pero tengo algunos puntos a considerar ahora que todo esto terminó.
Primero, ¡no se lo recomiendo a nadie! Es fácil volverse adicto, incluso esclavo de los logros personales.
Y lo más importante, como lo he aprendido de la peor manera, es esencial reconocer que correr todos los días durante un período prolongado, no solo puede, sino que seguramente causará lesiones tarde o temprano.
En conclusión, es fundamental escuchar a los expertos y a tu cuerpo, y tomar descanso adecuado cuando sea necesario para prevenir el agotamiento y posibles problemas de salud a largo plazo.
Sin duda, esta racha de tres años y 21 días consecutivos fue un viaje extraordinario, que algunos han calificado como «un ejemplo de determinación, disciplina y la búsqueda de metas personales», pero que también es esencial recordar que el proceso de acondicionamiento físico de cada individuo es único y debe abordarse con atención y respeto por el propio cuerpo.
Algún día volveré a correr, pero nunca más lo haré todos los días, durante 3 años y 21 días.
Sobre el autor:
Javier Mota, colaborador de Siempre Auto, completó una racha de carreras diarias de más de 3 años bajo la lluvia y la nieve en 16 países, pero está pagando las consecuencias. Sin embargo, no se arrepiente.